- HOME
- オールセラミッククラウン
- セラミック治療例 ブラックマージンを治したい
5/15-5/21の期間、LUMINEカードによるお支払いですべての審美治療が10%OFFとなるお得なキャンペーンを開催いたします。LUMINEカードは即日発行ができるので、お持ちでない方もご安心ください。
例)シンプルオールセラミック1本(税込・仮歯別)
・通常料金:¥110,000
・キャンペーン時:¥99,000
また、お支払い方法は院内分割払いなど、柔軟に対応しております。まずは無料カウンセリングでご相談ください。
ブラックマージンを治したい

ブラックマージンを治したい
| 施術内容 | 費用(税込) | 期間 |
| シンプルデザイン3本 | ¥330,000 | 2ヶ月間 |
| コア築または支台歯調整料3本 | ¥45,000 |
分割5回払いの場合¥75,000/月(無利子)×5回=¥375,000
※自由診療。治療期間、費用、施術の流れ、仕上がりに関しては個人差があります。
副作用(リスク):一時的に歯がしみたり、かみ合わせの違和感を感じることがあります。
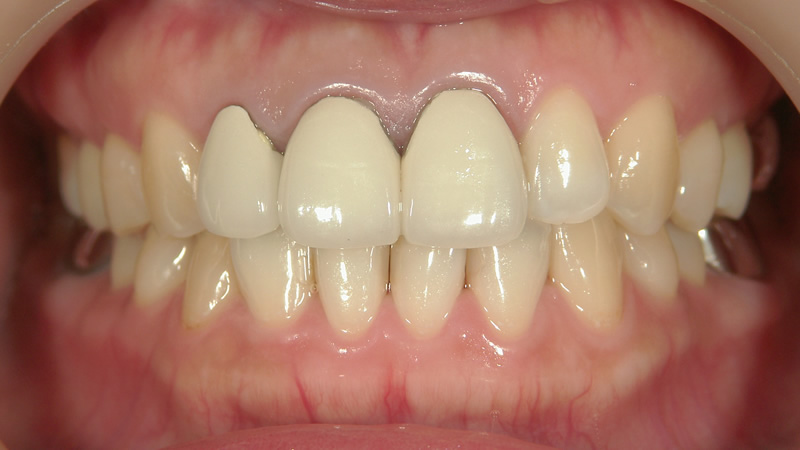
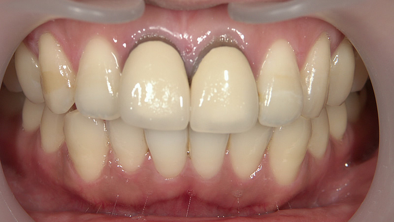
以前行った被せ物と歯ぐきの間が黒ずんでしまう、ブラックマージンにお悩みでカウンセリングに来院されました。ブラックマージンになってしまう原因はいくつかありますが、主にかぶせ物に金属が含まれていることが原因ですので、金属を取り除き、きちんと処置を行うことでキレイな状態に回復することが可能です。
こちらのケースでは、上の前歯3本にオールセラミッククラウンをセットする治療プランを立て、前歯の角度や形など細かく調整を行っていきました。
治療が終わるころには、歯ぐきの色は改善され、健康的なピンク色に戻っています。お肌のお色が白い方だったので、お口元が明るくなったことで、お顔全体がさらに明るくなったように感じました。
ブラックマージンや変色をキレイにしたい
| 施術内容 | 費用(税込) | 期間 |
| シンプルデザイン12本 | ¥1,320,000 | 3ヶ月半 |
| コア築または支台歯調整料12本 | ¥180,000 | |
| ホワイトニング3回14本 | ¥107,811 |
分割10回払いの場合¥160,781/月(無利子)×10回=¥1,607,811
※自由診療。治療期間、費用、施術の流れ、仕上がりに関しては個人差があります。
副作用(リスク):一時的に歯がしみたり、かみ合わせの違和感を感じることがあります。
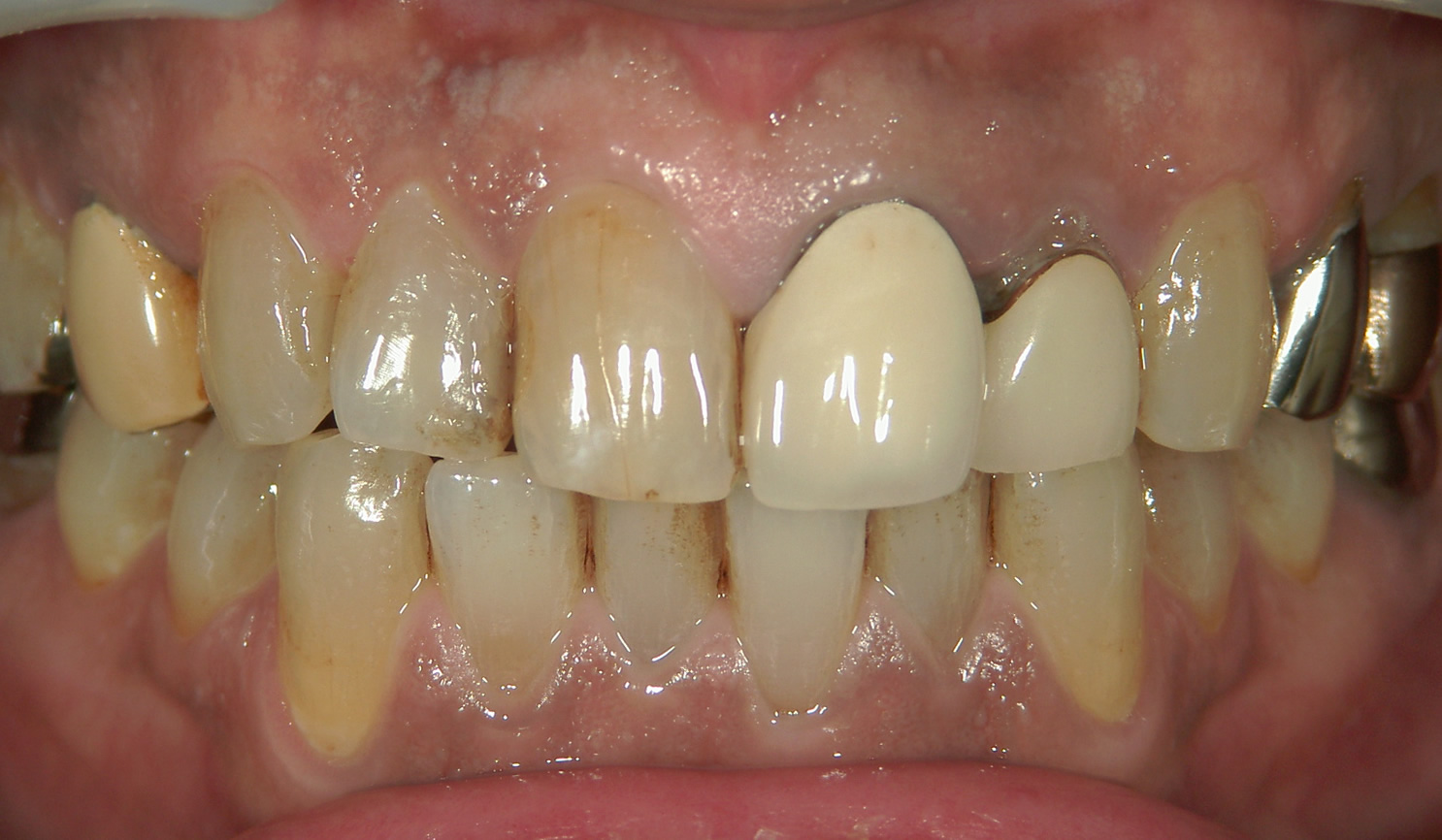
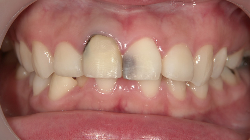
以前治療をした歯の変色や変形、歯ぐきの黒ずみ、銀歯などをまとめてキレイにしたいとカウンセリングに来院されました。当院は審美的な歯科治療を行うクリニックですので、年数が経って変色した保険治療や金属のかぶせ物、歯肉の変色などに悩まれて来院される方が多くいらっしゃいます。
こちらのケースは、前歯のプラスチックの詰め物が変色して目立っている状態でした。また周囲の歯にセットしたかぶせ物は、歯茎の位置が下がり、ブラックマージンという状態になっています。
カウンセリングの後、前歯12本へオールセラミッククラウンのセットと周囲の歯へのホワイトニングを希望されました。まずはホワイトニングで白さをしっかりと上げ、その色に合わせてクラウンをセットします。すべての治療が完了するころには歯ぐきも自然な色に回復し、お口元全体が明るくなったことで、お顔全体の印象も明るく見えました。

前歯の黒ずみを治したい
| 施術内容 | 費用(税込) | 期間 |
| セミデザイン2本 | ¥270,000 | 1ヶ月半 |
| コア築または支台歯調整料2本 | ¥30,000 |
分割5回払いの場合¥60,000/月(無利子)×5回=¥300,000
※自由診療。治療期間、費用、施術の流れ、仕上がりに関しては個人差があります。
副作用(リスク):一時的に歯がしみたり、かみ合わせの違和感を感じることがあります。
以前行った被せ物が変色を起こしてきたのでキレイにしたい とご相談に見えました。歯ぐきにも変色が及び、前歯が目立って困るとのお悩みでした。歯並びも同時に整えたいと希望され、前歯2本をオールセラミッククラウンでキレイにしたいと選択されました。
かぶせ物だけでなく、土台の再治療から行います。白いグラスファイバー製のコア(土台)に立て直し、サイズや角度を調整しながらクラウンをセットします。変色や黒ずみを引き起こしている金属が取り除かれたことで、全体の施術が終わるころには歯ぐきの変色も改善されていました。
ブラックマージンを治したい
| 施術内容 | 費用(税込) | 期間 |
| セミデザイン2本 | ¥270,000 | 2ヶ月間 |
| コア築または支台歯調整料2本 | ¥30,000 | |
| ホワイトニング3回14本 | ¥107,811 |
分割5回払いの場合¥81,562/月(無利子)×5回=¥407,811
※自由診療。治療期間、費用、施術の流れ、仕上がりに関しては個人差があります。
副作用(リスク):一時的に歯がしみたり、かみ合わせの違和感を感じることがあります。
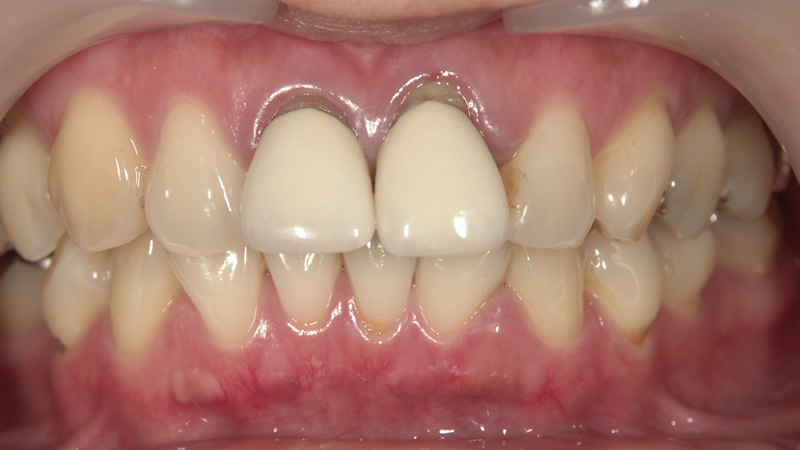
以前行った被せ物の治療に、違和感があるとのことでカウンセリングに来院されました。かぶせ物の中に金属が含まれていることが原因で、前歯2本がブラックマージンの状態となっていました。またお口元全体の黄ばみが気になるとおっしゃっていました。
カウンセリングの結果、前歯2本にオールセラミックをセットし、周囲の歯に3回のホワイトニングコースを行うプランを選択されました。
とても自然な色とツヤのセラミックがセットされ、周囲の歯とは見分けがつかない程、自然に仕上がりました。歯ぐきの黒ずみも改善され、お顔全体が明るい印象になりました。

前歯をキレイにしたい
| 施術内容 | 費用(税込) | 期間 |
| セミデザイン4本 | ¥540,000 | 1ヶ月半 |
| コア築または支台歯調整料4本 | ¥60,000 | |
| 歯根の神経の治療2本 | ¥22,000 |
分割10回払いの場合¥62,200/月(無利子)×10回=¥622,000
※自由診療。治療期間、費用、施術の流れ、仕上がりに関しては個人差があります。
副作用(リスク):一時的に歯がしみたり、かみ合わせの違和感を感じることがあります。
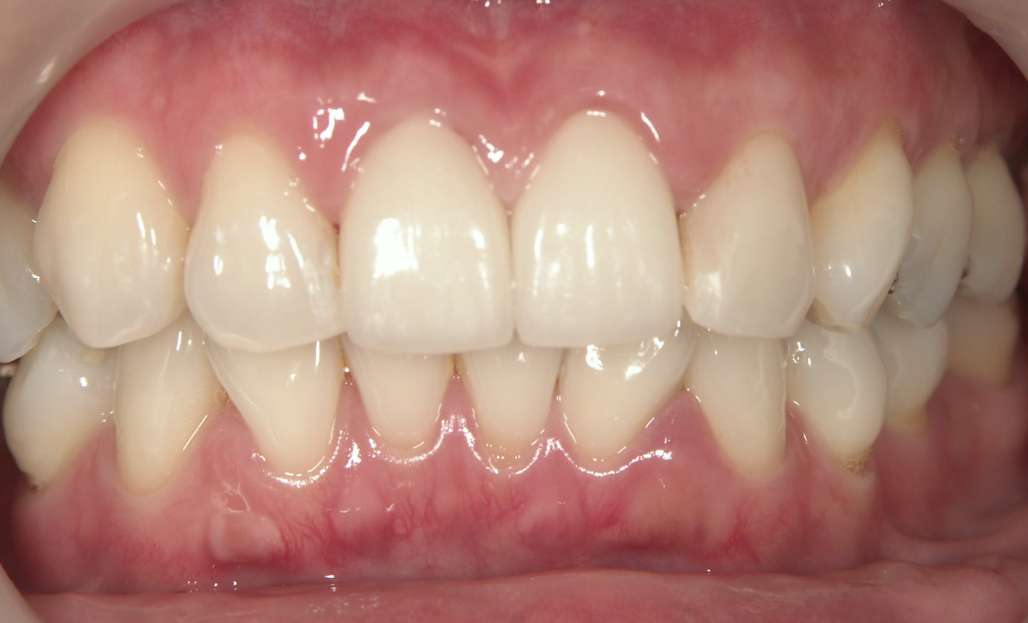
前歯の変色が気になると、カウンセリングに来院されました。数年前に行った治療跡が変色を起こしている状態でした。
歯ぐきの黒ずみや被せ物の変色は、セットする被せ物にプラスチックや金属が含まれている事が大きな原因です。当院ではプラスチックや金属を一切を含まない「オールセラミッククラウン」をセットしますので、施術後に変色・黒ずみなどを引き起こすことはありません。全体のバランスを考慮し、前歯4本にオールセラミッククラウンでの治療を希望されました。
治療が完了するころにはブラックマージンも改善され、ハリのある歯ぐきに回復されていました。色みや透明感にもとても満足して頂き、コンプレックスが解消されたと話していらっしゃいました。
前歯の違和感をなくしたい
| 施術内容 | 費用(税込) | 期間 |
| シンプルデザイン8本 | ¥880,000 | 1ヶ月半 |
| コア築または支台歯調整料8本 | ¥120,000 |
分割10回払いの場合¥100,000/月(無利子)×10回=¥1,000,000
※自由診療。治療期間、費用、施術の流れ、仕上がりに関しては個人差があります。
副作用(リスク):一時的に歯がしみたり、かみ合わせの違和感を感じることがあります。
前歯に行った以前の治療跡の変色が気になると、カウンセリングに来院されました。笑った時に見える前歯の歯並びなども気にされていて、トータルでお口元をキレイにしたいとおっしゃっていました。
笑った時に特によく目立つ、上の前歯8本にオールセラミッククラウンを選択されました。歯並びだけでなくお顔全体とバランスを見ながら、笑顔がもっとも美しく見えるように調整を行いながらセットしていきます。
歯の形や角度などをご希望通りに調整し、白く明るいお口元に仕上がりました。歯茎の内側から立ち上げ、オールセラミックの透明感を生かすことで、自然な仕上がりとなっています。
English
中文(简)











