5/15-5/21の期間、LUMINEカードによるお支払いですべての審美治療が10%OFFとなるお得なキャンペーンを開催いたします。LUMINEカードは即日発行ができるので、お持ちでない方もご安心ください。
例)シンプルオールセラミック1本(税込・仮歯別)
・通常料金:¥110,000
・キャンペーン時:¥99,000
また、お支払い方法は院内分割払いなど、柔軟に対応しております。まずは無料カウンセリングでご相談ください。
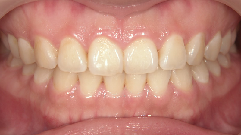
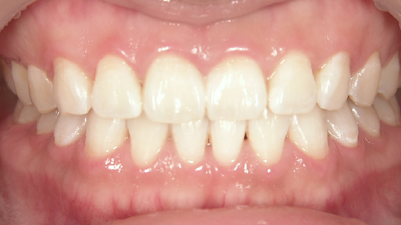
「以前は効果が出なかった」

ケース 1
| 施術内容 | 費用(税込) | 期間 |
| 3回12本コース | ¥97,713 | 4週間 |
※自由診療。治療期間、費用、施術の流れ、仕上がりに関しては個人差があります。
副作用(リスク):一時的に歯がしみることがあります。
以前ホワイトニングを行ったが、あまり効果が出なかったとカウンセリング時におっしゃっていた方です。遠方にお住まいでしたので、なるべく通院回数の少ないOnly 3 Daysをおすすめしました。初回のカウンセリング時には、オフィスホワイトニング1回ごとにきちんと数値で色味のチェックを行うこともご説明しました。
施術では、1回のオフィスホワイトニングが完了するごとに、色味の測定を行いました。毎回数値が明るくなり、とても嬉しそうにしていらっしゃいました。ご自宅でのホームホワイトニングもこまめに行って頂けたので、色戻りも少なく済みました。
3回目のオフィスホワイトニング完了時には、以前よりお顔が若々しく見え、鏡の前で笑顔でいらした姿が印象的でした。最終的にはわずか3回の通院でご希望の明るさに仕上がりました。
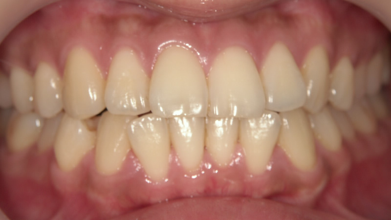
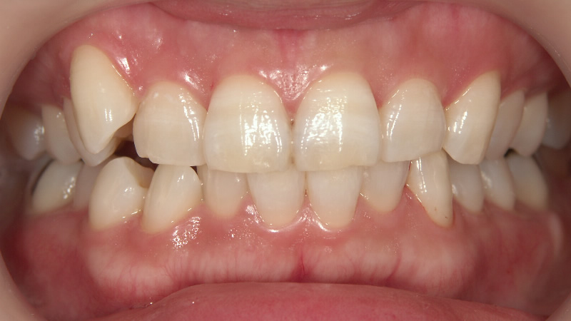
ケース 2
| 施術内容 | 費用(税込) | 期間 |
| 3回12本コース | ¥97,713 | 4週間 |
※自由診療。治療期間、費用、施術の流れ、仕上がりに関しては個人差があります。
副作用(リスク):一時的に歯がしみることがあります。
以前他のクリニックでホワイトニングをされ、結果があまり出なかったとカウンセリングにいらっしゃいました。施術の際には痛みも出てしまったということで、当院ではonly 3 Daysによるホワイトニングをおすすめました。
Only 3 Daysによるホワイトニングは歯に全く熱を持たせないので、しみるような痛みを引き起こしません。万が一しみやすい・痛みを感じやすい方には、ホワイトニング施術前にしみどめの薬を塗って対応しています。そうしたホワイトニングの施術の流れをご説明し、ご本人にも納得していただけました。
施術ではしみどめの薬を塗りながら行いましたが、痛みが出ることはありませんでした。「ホワイトニング中、少し眠ってしまいました」とおっしゃる程、リラックスして施術を受けて頂けました。
全てのホワイトニングが終了し、とてもツヤ感のある明るい白さに仕上がりました。お口元全体が明るくなった事でお顔全体が明るくなり、印象がガラッと変わりました。以前はお口元に手を当てていたのも、手を当てずに笑われていた姿も、とても素敵でした。

ケース 3
| 施術内容 | 費用(税込) | 期間 |
| 3回16本コース | ¥160,704 | 4週間 |
※自由診療。治療期間、費用、施術の流れ、仕上がりに関しては個人差があります。
副作用(リスク):一時的に歯がしみることがあります。
他院でホワイトニングをされたとのことですが、効果が感じられず、もっと白くしたいと来院されました。その際は半年に1回のオフィスホワイトニングを3回程受けられ、施術にはかなりの痛みがあったとおっしゃっていました。
ホームホワイトニングは使用されたことが無いとのことでしたので、ホームホワイトニングは色戻りを防ぐ役割があり、オフィスホワイトニングの効果を高める作用がある点をお伝えし、以前効果が感じられなかった原因の可能性の1つとして、ホームホワイトニングを併用されなかった点もご説明させて頂きました。
まずはお口の中の状態を確認し、歯の色もシェードアップナビできちんと計測します。出来る限りの限界まで白くしたいとのご希望でしたので、スタンダードコースでオフィスホワイトニング3回のコースをおすすめしました。施術の範囲は笑った時に見える計16本でご提案し、ご納得いただけました。
1回目のオフィスホワイトニングでは痛みの有無をかなり気にされていたので、 まずは1本だけに薬剤を塗布して様子を見ながら進めていきました。痛み止めのご用意もありましたが、「ちっとも痛くない」とおっしゃって頂き、施術中は眠っていらっしゃる時もありました。ホームホワイトニングの使用方法もお伝えし、痛みが出た場合に一旦停止していただくなどの対処方法などもご説明しましたが、1度も痛くなることは無かったとおっしゃっていました。
English
中文(简)





