5/15-5/21の期間、LUMINEカードによるお支払いですべての審美治療が10%OFFとなるお得なキャンペーンを開催いたします。LUMINEカードは即日発行ができるので、お持ちでない方もご安心ください。
例)シンプルオールセラミック1本(税込・仮歯別)
・通常料金:¥110,000
・キャンペーン時:¥99,000
また、お支払い方法は院内分割払いなど、柔軟に対応しております。まずは無料カウンセリングでご相談ください。
「短期間で白くしたい」

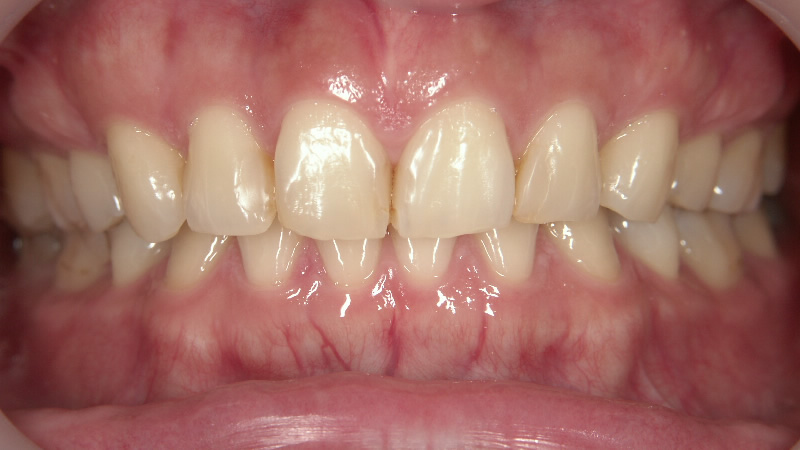
ケース 1
| 施術内容 | 費用(税込) | 期間 |
| 4回16本コース | ¥147,312 | 4週間 |
※自由診療。治療期間、費用、施術の流れ、仕上がりに関しては個人差があります。
副作用(リスク):一時的に歯がしみることがあります。
自分の歯を削ることなく、なるべく短期間で出来る限り白くしたいと来院されました。
イメージされている「真っ白」がどの位の白さと明るさなのかを、まずお伺いしました。当院に来院される「真っ白にしたい」という方は、多くの患者さまがスーパーホワイトのセラミッククラウンかラミネートべニアを選択されます。ですが、今回のケースでは歯を削ることにかなり抵抗があるとのことでしたので、ホワイトニングでの治療を決定されました。
お口の中を拝見させていただくと、着色汚れの他にも歯石などが多く付着しており、シェードアップナビでの数値もかなり高い(色が濃い)と判定されました。ホワイトニングの施術に入る前に歯表面の歯石や汚れを取り除いた方がより効果的ですので、すべてがセットになっているブライダルコースをご提案しました。本数とゴールは、「笑った時に見える箇所すべて」「限界まで白くしたい」とのことでしたので、上下8本ずつの計16本、回数はオフィスホワイトニング4回のブライダルコースに決定されました。
プランが決まりましたら、さっそくお口の中の写真を撮影し、ホームホワイトニング用マウスピースのための歯型をとらせて頂きます。ホワイトニング施術のスタートは、ホームホワイトニング用のマウスピースが出来上がる1週間後以降のご都合の宜しい日になります。
今回は最短でご予約をいただきましたので、1週間後、マウスピースのお渡しとクリーニング、そして1回目のオフィスホワイトニングを行いました。クリーニングの終了段階で色が明るい印象になったとおっしゃって頂き、歯石などの汚れが落ちたことで、舌触りもツルツルになったと喜んでいらっしゃいました。
オフィスホワイトニングの施術後に色の測定を行ったところ、白くなりやすい歯質をお持ちで、3段階ほど数値が下がりました。最初はエラーだった箇所も6.5程度の明るさになり、ご本人にも白くなった様子を実感頂けたようでした。最後にホームホワイトニングの使用方法やポイントなどをご説明し、毎日お使いいただいて、色をキープして頂くようにとお伝えしました。
2回目、3回目ともに順調に白さがアップし、ご自宅でのホームホワイトニングやケアをきちんと行っていただける様子が見えました。1回の施術ごとの数値計測も楽しみにして下さり、回数を重ねるごとに確実に白くなっている様子に喜びつつも、驚いていらっしゃいました。
最後の4回目のオフィスホワイトニングでは、2.5程度まで白く明るくなました。2程度の明るさは、ホワイトニングの施術をしてもなかなか到達できない明るさだとお伝えしたところ、とても喜んでいらっしゃいました。ご自宅での丁寧なケアや、白くなりやすい歯質だった点が大きいかと思います。

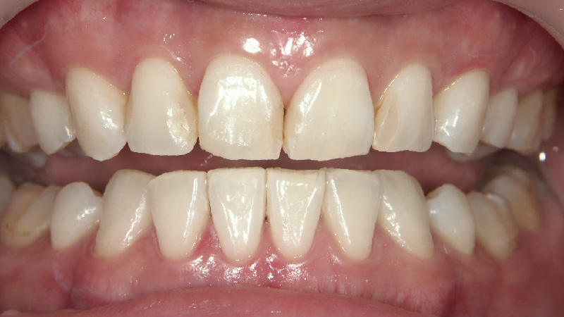
ケース 2
| 施術内容 | 費用(税込) | 期間 |
| 4回16本コース | ¥147,312 | 4週間 |
※自由診療。治療期間、費用、施術の流れ、仕上がりに関しては個人差があります。
副作用(リスク):一時的に歯がしみることがあります。
短期間で歯を白くしたいとカウンセリングに来院されました。今のご自身の歯の色がコンプレックスになっていて、なるべく早く白くしたいとおっしゃっていました。
まず、ご自分の歯を残したまま白くされたいか、オールセラミッククラウンなどで白くされたいかによって治療の内容や期間が異なることをお伝えしたところ、ご自身の歯を残したまま白くしたいとご希望されましたので、ホワイトニングをおすすめしました。続いてお口の中を拝見したところ、口角を上げた時(笑った時)に見える本数は上下8本ずつの計16本で、歯の色の数値は前歯で8.0、犬歯は計器でエラーが出てしまいました。シェードガイドを一緒に見ながら、どのくらい白くされたいか伺うと、全体的に4.0程度まで明るくしたいとご希望されました。
しっかりと白くしたいとのご希望でしたので、スタンダードのオフィスホワイトニングコースをおすすめし、4回のオフィスホワイトニングをご提案いたしました。かなり迷っていらっしゃった様子でしたが、まずは3回で様子を見たいとご選択されました。治療の最初に行うことは、まず今の状態の口腔内のお写真を撮り、ホームホワイトニング用の歯型をとります。ホームホワイトニング用のマウスピースが出来上がってから、本格的にホワイトニング施術をすすめていきます。
一週間後、マウスピースが出来上がり、お渡しする日に合わせて1回目のオフィスホワイトニングを行いました。1回目の施術終了後に歯の数値が大きく下がり、通常1回で0.5~1段階ほど白くなるところを、1.5段階ほど白くなりました。次の日から次回のオフィスホワイトニングまでの期間、毎日2回ほどホームホワイトニングを行っていただくようお伝えし、ポイントなどもご説明しました。
2回目のオフィスホワイトニングの施術前にホームホワイトニングの使用感を確認しましたが、特に痛みもなく、毎日行うことが出来たとおっしゃっていました。色戻りすることなく前回の白さをキープされていたので、今回のオフィスホワイトニングでもさらに1段階ほど白さを上げることが出来ました。
3回のオフィスホワイトニング終了後に歯の色を測定したところ、前歯は4.0、犬歯は5.5まで明るくなっていました。鏡を見ながらシェードガイドやお写真を照らし合わせて効果を確認したところ、以前との色の違いに驚いていらっしゃいました。「ただ、出来ればもう少し白くしたい」とおっしゃったので、追加で1回のオフィスホワイトニングを行いました。最終的にご希望通りの白さと明るさになり、とても喜んでいらっしゃいました。
最終的に治療期間としては、4週間ほどかかりました。連日の施術も可能ですが、より白さをしっかり定着させたい場合には1週間ほどのホームホワイトニング期間がポイントです。こちらのケースでもその点をお伝えし、最大限白くなるような施術プランを組むことが出来たと思います。現在も定期的にフォローアップに来院されています。
English
中文(简)



