5/15-5/21の期間、LUMINEカードによるお支払いですべての審美治療が10%OFFとなるお得なキャンペーンを開催いたします。LUMINEカードは即日発行ができるので、お持ちでない方もご安心ください。
例)シンプルオールセラミック1本(税込・仮歯別)
・通常料金:¥110,000
・キャンペーン時:¥99,000
また、お支払い方法は院内分割払いなど、柔軟に対応しております。まずは無料カウンセリングでご相談ください。
口ゴボ治療QA
Q:口ゴボは美容整形をしなくても治りますか?
A
多くの場合、美容整形の手術(オペ)無しで治すことができます。
口ゴボとは、口元全体が前方に突出している状態をさします。原因はさまざまですが、主に歯並びの乱れや前歯が前方に傾いていることにより唇が押し出され、口元にボリュームが出てしまっているケースがほとんどです。この場合、歯並びを改善することで唇が正常な位置に戻り、口ゴボを改善することができます。
重度の口ゴボなら美容整形も選択肢の1つ
口ゴボの原因が歯並びの乱れではなく、顎の骨自体が前に出ているような重度のケースでは、歯並びを整えるだけでは口ゴボを改善することができません。この場合、骨削り(セットバック)などの外科手術を選択される方もいます。
しかし、美容整形で口ゴボを治療する場合には大掛かりな外科手術となりますので、後遺症が残るリスクや、痛み・腫れが伴うほか、入院が必要になることもあります。また全身麻酔を行う場合、仕上がりを確認しながら施術を進めることができないため、担当医師に任せきりになり、理想の仕上がりを目指すのが難しい可能性があります。
骨のかたちが変わることで、変化を望んでいなかった鼻や唇のかたちが変わってしまったり、骨格がコンパクトになることで皮膚や皮下脂肪が余り、たるみや二重顎を引き起こすこともあります。副作用やリスクを考えると、軽度~中度の口ゴボの方はできるだけ美容整形を避けて治療を行いたいという方も少なくありません。
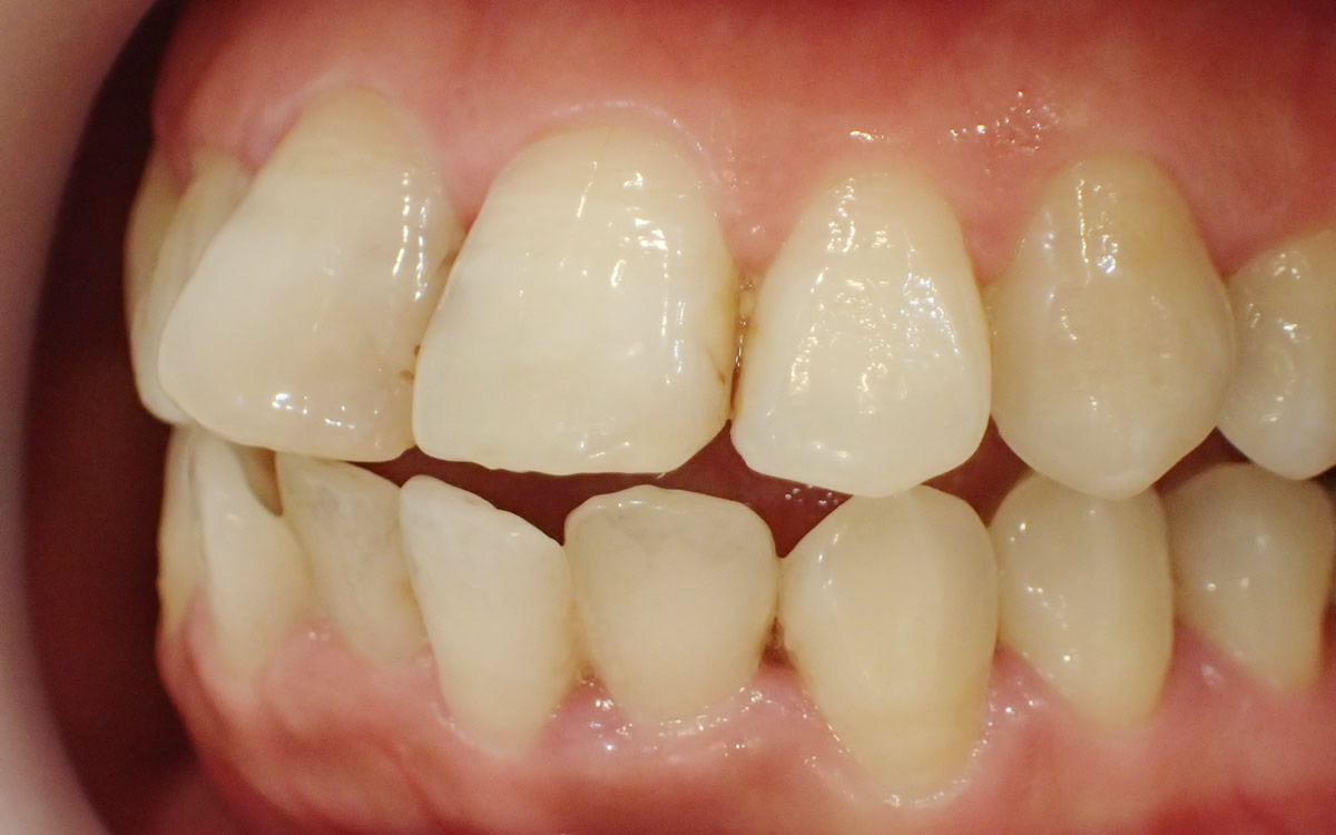
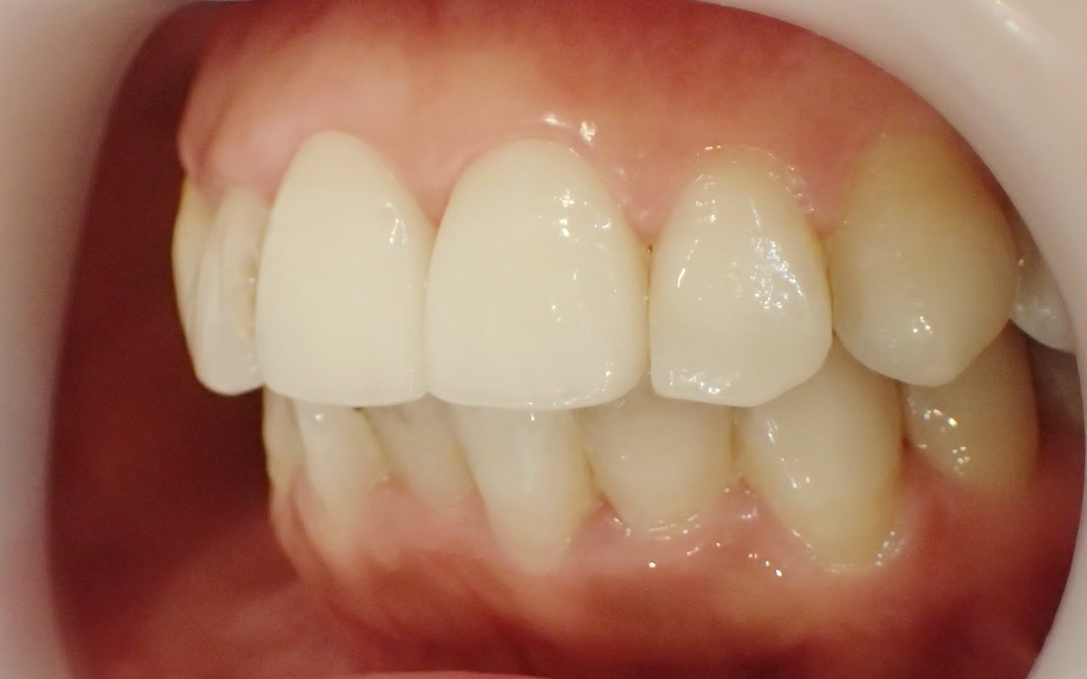
セラミック矯正で口ゴボを治す
重度ではない場合は骨を削らず、前歯の並びを改善することで口ゴボを治す審美歯科治療が人気を集めています。特に日常生活に支障を感じず治療中の見た目も違和感なく治療することができるセラミック矯正が人気です。
自由診療。治療期間、費用、施術の流れ、仕上がりに関しては個人差があります。施術はシンプルデザインセラミック1本¥110,000。治療期間約2ヶ月半。
副作用(リスク):一時的に歯がしみたり、かみ合わせの違和感を感じることがあります。
当院で行っているセラミック矯正は、歯を小さくして内側に入れることで前から見ても横から見ても、自然で整ったバランスに仕上げます。理想のお口元になるように全体のバランスを整え、最終的なセラミックの形態に近い仮歯を作製し、ご希望に合った歯の大きさや形、グラデーションや艶、透明感などを相談しながら仕上げていきます。治療期間は平均2~3ヶ月と短期間で、後戻りやダウンタイム、後遺症が残るリスクもありません。ワイヤー矯正やマウスピース矯正特有の治療中の痛みや不快感もなく、快適に口ゴボを改善でき、理想のお口元にすることができます。
English
中文(简)

