- HOME
- ガミースマイル治療
- ガミースマイル治療QA一覧
- 歯肉整形を考えていますが、痛みや腫れが不安です
5/15-5/21の期間、LUMINEカードによるお支払いですべての審美治療が10%OFFとなるお得なキャンペーンを開催いたします。LUMINEカードは即日発行ができるので、お持ちでない方もご安心ください。
例)シンプルオールセラミック1本(税込・仮歯別)
・通常料金:¥110,000
・キャンペーン時:¥99,000
また、お支払い方法は院内分割払いなど、柔軟に対応しております。まずは無料カウンセリングでご相談ください。
ガミースマイル治療QA
Q:歯肉整形を考えていますが、痛みや腫れが不安です
A
施術中の痛みや腫れはほとんどありません。歯肉整形は外科処置ですので治療前に麻酔を行いますが、当院では痛みを抑えて快適に治療を受けていただくことを心掛けています。
麻酔注射には極細の注射針を使用し、かつ時間をかけてゆっくり丁寧に麻酔薬の注入を行います。一定の速度でゆっくり注入することで、痛みをより抑えることが出来ます。さらに麻酔薬は体温に近い温度まで事前に温めておくことで、注入時の不快感も最小限に抑えています。
加えて、注射針を刺しこむ歯ぐき表面には、事前に表面麻酔のジェルを浸透させて、感覚を麻痺させてから麻酔注射を行います。十分に麻酔が効いている状態ですと施術中に痛みを感じることはありませんので、痛みに敏感な方でも安心して治療を受けていただけます。
麻酔針を打ち込む機器
施術後の出血や痛みによる不快感も最小限に
歯肉整形では、電気メスを使って歯ぐきのラインをカットしていきます。当院では高周波電気メスを使用し、電気抵抗により約100度の熱を発生させて歯ぐきを焼き切っていきます。放電が作用したカット部分は血液が凝固するため止血効果がとても高く、施術後の出血はほとんどありません。(高周波電気メスは、心臓ペースメーカーを使用されている方には使えません。)
手術後の痛みですが、麻酔の効果が切れてくると口内炎程度の違和感を感じる場合があります。必要以上に舌や指、歯ブラシなどで傷口部分を触ってしまうとかえって痛みが増すことがありますので、なるべく避けて頂くようにご説明しています。痛みの感じ方には個人差がありますので、我慢できない痛みの場合には、飲みなれている鎮痛剤(ロキソニン等)を飲んでいただきます。痛みに敏感で不安がある場合には、事前に痛み止めの薬を飲んでいただくことも可能です。その場合にはスタッフまでお知らせください。
極細の高周波電気メス
傷口の治り方、治る期間について
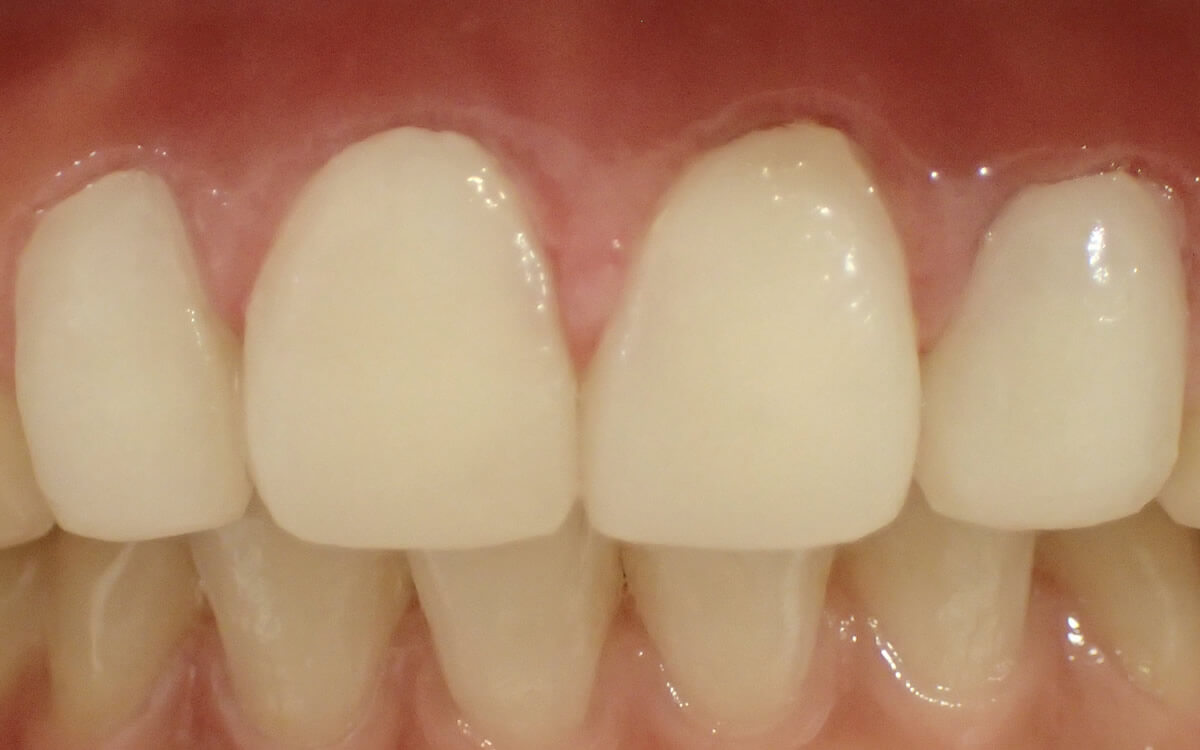
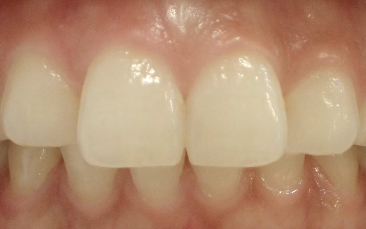
実際の治療経過は以下の写真の通りです。施術前に使用する局所麻酔薬の中には、血管を収縮させ部分的な止血効果のあるアドレナリンが含まれているため、歯ぐきの色は一時的に白~白に近い薄ピンク色になります。
施術当日、麻酔の止血作用が切れてくると赤みと表面の凹凸が軽く出てきますが、正しい口腔ケア(歯ブラシの当て方など)をしていただくことで約2~3週間で赤みや凹凸はおさまります。約1ヶ月後のセラミックが出来上がるころには、引き締まった歯ぐきに治癒します。セラミックをセットすることで後戻りも起こさず、自然な膨らみのある健康的な歯ぐきに仕上げることが出来ています。
歯ぐきのアップ
治療前
歯肉整形直後(当日)
セラミックセット時(約1ヵ月後)
※自由診療。治療期間、費用、施術の流れ、仕上がりに関しては個人差があります。歯肉切除4本¥44,000、セラミッククラウン1本¥135,000。治療期間約1ヶ月。
副作用(リスク):一時的に歯がしみたり、かみ合わせの違和感を感じることがあります。
唇と一緒に撮影
※自由診療。治療期間、費用、施術の流れ、仕上がりに関しては個人差があります。セミデザイン・オールセラミッククラウン1本¥135,000。歯肉切除1本¥11,000。治療期間約2ヶ月半。
副作用(リスク):一時的に歯がしみたり、かみ合わせの違和感を感じることがあります。
English
中文(简)

