- HOME
- 12本以上のセラミック治療「セラミックスマイルプラン」
12本以上のセラミック治療「セラミックスマイルプラン」

セラミックスマイルプランは、12本以上のまとめた本数にセラミック治療をご希望の方に向けたお得なパッケージプランです。
上下の前歯全体にセラミック治療を行うことで、より患者様の理想とされる歯のお色・歯の形にきめ細かくデザインすることができます。理想とされる芸能人のお口元に仕上げることも可能です。
こちらのプランは他の割引との併用はできません。
セラミックスマイルプラン症例Treatment Example
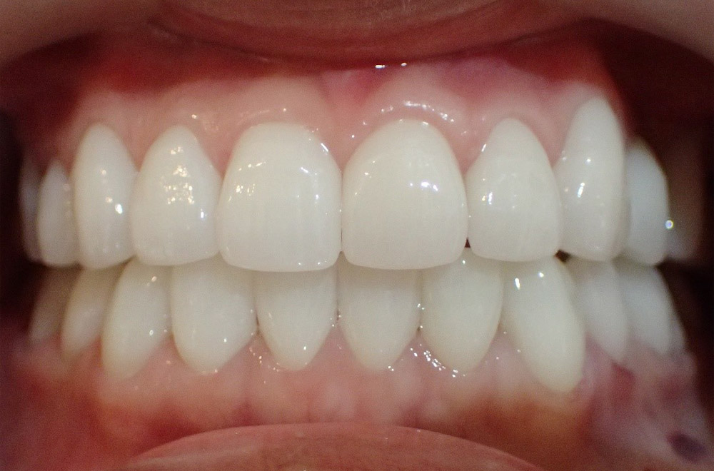
上下の前歯の歯のお色・形まで理想的に
※自由診療。治療期間、費用、施術の流れ、仕上がりに関しては個人差があります。シンプル・オールセラミッククラウン1本¥110,000。治療期間約2ヶ月半。
副作用(リスク):一時的に歯がしみたり、かみ合わせの違和感を感じることがあります。
テトラサイクリン歯と変色した差し歯にまとめてセラミック治療を行うことで、透明感のある白い歯に仕上げました。
まとめた本数にセラミック治療を行う場合、よりきめ細かく患者様のご希望とする歯のお色や形・大きさに仕上げることができます。
歯並びや歯の色・歯の長さをバランス良く改善
※自由診療。治療期間、費用、施術の流れ、仕上がりに関しては個人差があります。シンプル・オールセラミッククラウン1本¥110,000。治療期間約2ヶ月半。
副作用(リスク):一時的に歯がしみたり、かみ合わせの違和感を感じることがあります。
重なった前歯の歯並びを改善し、同時に歯の長さや幅を全体的に改善しました。また、変色していたお色を白く透明感のある仕上がりに整えました。
全体的なバランスが整い、若々しい印象の美しいお口元になりました。
歯の白さ・歯の大きさ・歯の形を理想通りにデザイン
※自由診療。治療期間、費用、施術の流れ、仕上がりに関しては個人差があります。シンプル・オールセラミッククラウン1本¥110,000。治療期間約2ヶ月半。
副作用(リスク):一時的に歯がしみたり、かみ合わせの違和感を感じることがあります。
上の前歯を少し丸みのある可愛らしいデザインに仕上げ、下の歯はもともとすき間がありましたがすき間を改善しバランスの良い前歯になりました。
セラミックスマイルプランは、口元の印象だけでなくお顔のイメージを理想的に仕上げたい方にも人気があります。美容整形の総仕上げとしてもおススメです。
セラミックスマイルプランだから出来ること
白さ・歯の形・歯の大きさまで理想通りに

まとめた本数にセラミック治療を行う場合、上下左右の天然歯のお色や形にセラミックを合わせる必要がありません。
そのため、患者様の理想通りのデザインに仕上げることができます。ご希望とされる芸能人の方のお口元のお写真を持ってきていただき、そちらに合わせて治療を進めることも可能です。
ナチュラルな白さから真っ白なお色までお選びいただけます

ホワイトニング後のようなナチュラルな白さから、目立つくらいの真っ白なお色までお好きなイメージのお色をお選びいただけます。
お色味も細かく選んでいただけるので、イメージとされるモデル・女優・芸能人と同じ白さに仕上げることが可能です。
セラミックスマイルプラン6つの安心
01単品治療より15%以上お得

1本ごとの治療を組み合わせるよりも、総額で15%以上もお得。セラミックスマイルプランだから実現できた、お得な特別料金設定となります。
02デンタルローン・無利息の院内分割

治療費は分割でお支払い可能。そして院内分割をご利用いただくことで無利息で分割払いをご選択いただけます。また、提携のデンタルローンもご利用いただけます。お支払い方法もお気軽にご相談ください。
03保険証不要

自費治療のプランになるため、保険証は必要ありません。保険証をご提示いただく必要がありませんので、お持ちでない方も安心してご利用ください。
04キレイな仮歯で当日も安心
仮歯のイメージ。角度やラインも調整します
治療中、歯が抜けている期間はありません。本番のセラミックをセットするまでの仮歯期間中には仮歯をセットしますので、いつでも安心して治療をスタートできます。
05イベントやスケジュールに合わせて治療日程を柔軟に調整

大切なイベントやスケジュール合わせて治療の日程を柔軟に調整いたします。
また、遠方からお越しの方やお忙しい方に向けた短期集中プランもご用意。一度のご来院でできるだけ多く治療を進めることで、通院回数を少なくいたします。
06良質なジルコニア素材を厳選

ひとくちに「セラミッククラウン」と言っても、中には金属やプラスチックを含み、治療数年後に変色や変形を起こすケースもあるようです。当院ではオールセラミッククラウンの中でも良質と言われる、ジルコニア素材のみでつくられたクラウンを採用しています。
お得な3つのセラミックスマイルプラン
ベーシックなスタンダードプラン
上下の前歯12本セラミック+周囲の歯4本ホワイトニング
前歯12本セラミック+ホワイトニングイメージ
自由診療。治療期間、費用、施術の流れ、仕上がりに関しては個人差があります。治療期間約2ヶ月半。
副作用(リスク):一時的に歯がしみたり、かみ合わせの違和感を感じることがあります。
笑った時や食事時に見える上下の前歯12本をご希望の色と形に仕上げ、周囲の歯にはホワイトニングを行います。12本のセラミック治療には金属やプラスチックを一切含まないオールセラミックを採用。ホワイトニングは3回のオフィスホワイトニングを行い、しっかり白く明るく仕上げます。
プラン料金 ¥1,785,000
分割10回払いの場合¥178,500/月(無利子)×10回=¥1,785,000
提携デンタルローンはお問い合わせください
ハリウッドスマイルのような華やかプラン
上下の前歯16本セラミック
前歯16本セラミックイメージ
自由診療。治療期間、費用、施術の流れ、仕上がりに関しては個人差があります。治療期間約2ヶ月半。
副作用(リスク):一時的に歯がしみたり、かみ合わせの違和感を感じることがあります。
笑った時に見える上下の前歯16本をご希望の色と形に仕上げます。16本のセラミック治療には金属やプラスチックを一切含まないオールセラミックを採用。お口元全体が整い白く明るくなるため、お顔全体も明るい印象となります。
プラン料金 ¥2,380,000
分割14回払いの場合¥170,000/月(無利子)×14回=¥2,380,000
提携デンタルローンはお問い合わせください
全方向、完璧な笑顔のプレミアムプラン
上下の前歯20本セラミック
前歯20本セラミックイメージ
自由診療。治療期間、費用、施術の流れ、仕上がりに関しては個人差があります。治療期間約2ヶ月半。
副作用(リスク):一時的に歯がしみたり、かみ合わせの違和感を感じることがあります。
笑った時に見える上下の前歯20本をご希望の色と形に仕上げます。20本のセラミック治療には金属やプラスチックを一切含まないオールセラミックを採用。大きく口を開けて笑った時も白く明るい歯がのぞき、どの角度から見ても美しい仕上がりとなります。
プラン料金 ¥2,975,000
分割20回払いの場合¥148,750/月(無利子)×20回=¥2,975,000
提携デンタルローンはお問い合わせください
どのプランも神経の治療および歯肉切除はオプションとなり、1本につき別途11,000円となります。
セラミックスマイルプランついて無料カウンセリングでご相談ください

セラミックスマイルプランは、まとめた本数にセラミック治療を行うことでより細かく理想とされるお口元に仕上げることができます。
ご希望とされるお色味や形・お口元のイメージをカウンセリング時だけでなく各治療ステップごとに細かく確認しながら治療を進めていきます。
25年以上にわたり審美治療を専門としてきた当院に、まず無料カウンセリングでご相談ください。
English
中文(简)





